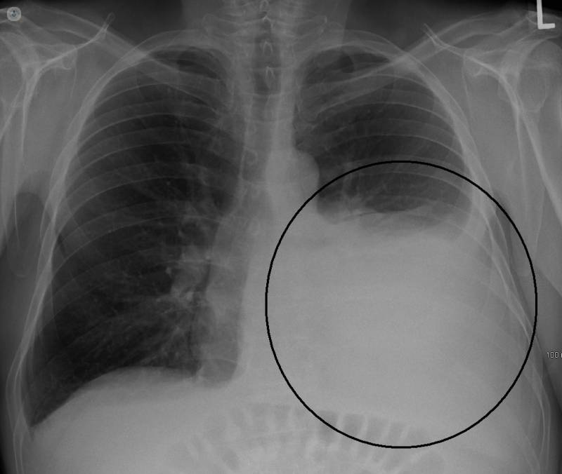
La incidencia de cánceres de pleura en Cerdanyola del Vallés es la más alta en todo el Estado —al menos hasta el 2018, puesto que la recopilación de datos se paró en seco por falta de recursos—. Cáncer de laringe, de pulmón, asbestosis, derrames pleurales, carcinomas gastrointestinales. Mesotelioma pleural, un cáncer muy virulento que solo se puede desarrollar por un motivo: la exposición al amianto. La esperanza de vida desde el diagnóstico suele ser de quince meses, pero oscila entre el año o dos años.
El amianto se conoce de modo popular e informal como Uralita —ya que el material procede de los Urales—, empresa principal fabricante durante décadas. Las naves se alojaron en el pueblo del Vallés Occidental durante noventa años, casi un siglo que deja un rastro de enfermedad y muerte en la localidad que no cesará hasta un horizonte que no se atisba.
Son cuarenta años los que puede tardar el polvo asesino en despertar de su letargo. ¿Qué pasa si la presión en el pecho abruma, y cada una de las quince respiraciones por minuto son un suplicio? ¿Si los pulmones se han convertido en bloques de hormigón inamovibles? La tos seca y constante azota el tórax como un martillo perforador que intenta quebrantar el cemento. El asbesto clavado en los pulmones permanece latente hasta que se endurece y se manifiesta en forma de enfermedad en muchos casos, al cabo de mucho tiempo. El mayo del 2021, el Supremo desestimó los recursos que había presentado Uralita y falló en favor de las víctimas, que llevan años en procesos de demandas colectiva. El juez determinó que la empresa expuso a graves riesgos a la población y los trabajadores con conocimiento de que el material era nocivo.

Se hablaba de silicosis
“Las patologías por amianto en los libros de neumología de los años setenta, ocupaban el espacio que puede ocupar una esquela en un periódico. Se hablaba de silicosis pero… ¿de asbestosis? No se había hablado nada”
Josep Tarrés acabó la carrera de medicina en el 1973. Fue a colegiarse y allí encontró un anuncio en el tablón: “hace falta médico de urgencias en el ayuntamiento de Sardañola del Vallés”. Hizo la solicitud y le enviaron a hablar con el regidor de sanidad del pueblo en ese momento, del que sería último gobierno franquista: “el hombre, el regidor, murió años después de mesotelioma”. Tarrés habla desde su pequeño despacho en el CAP Fontetes, donde ya jubilado, tiene título de emérito y sigue disponiendo de un espacio para sus trabajos de investigación y sensibilización.

Como médico de cabecera, con tendencia a fijarse en los casos de su especialidad en neumología, empezó a atar cabos. Patologías respiratorias indescriptibles que llegaban a la consulta le hicieron saltar la alarma. Empieza a estudiar qué está sucediendo, qué es todo eso. Toda una carrera dedicada a investigar y denunciar las prácticas de la empresa, sus investigaciones han sido clave para determinar la existencia de los enfermos ambientales —habitantes de alrededor de las naves—. Hizo sus estudios pese a oposiciones muy poderosas, como la del alcalde que estuvo en el poder casi 20 años tras las primeras elecciones democráticas. A la vez, Uralita le enviaba abogados que preguntaban qué estaba investigando en concreto, que quizás le sería más gratificante centrarse en otras cosas. Más adelante pudo formar un equipo de médicos centrados en continuar los estudios, fundaron el Observatorio por la Patología del Amianto en el Vallès Occidental, pero los recortes de la crisis de 2008 lo acabaron cerrando.
Una oportunidad como peón en Uralita

“Si le duele el pecho, deje de ir en moto con la camisa abierta. Le da el viento y coje frío”. La presión que Agustín sentía en el pecho no tenía nada que ver con que el hombre cargara a diario sacos de 25 quilos de fibrocemento sin ningún tipo de protección. Eso al menos es lo que planteaban las revisiones de los médicos de la empresa. Los pocos meses que trabajó en la nave fueron suficientes para gestar el embrión de la enfermedad.
Anunciación Rodríguez y Agustín Ruiz abandonaron su pueblo natal, Hinojosa del Duque (Córdoba) como parte del éxodo andaluz en los años cincuenta. Venían del trabajo en el campo, y Agustín encontró al llegar a Cataluña una oportunidad como peón en Uralita s.a. Las bonanzas de la industrialización no se hicieron esperar, las condiciones del lugar eran duras, pero el sueldo digno.
Estuvo menos de un año hasta que cambió de trabajo. Nueve meses. Dos cientos setenta días de respirar fibras tóxicas fue suficiente para que en 2010 Agustín falleciera víctima de un cáncer de pulmón que le mantuvo dos años en el hospital con dolores constantes e insuficiencia respiratoria. Anunciación perdió a su esposo por un motivo: Uralita s.a.
Del gueto de enfermedad a universalizar la problemática
Las víctimas del asbesto en Cerdanyola son incontables. Existe un registro, un mapeo de casos que empezó un joven Tarrés en una libreta, y que con el paso de los años se acabó convirtiendo en una gran base de datos. Existen estudios que dicen que tras el 2020, las enfermedades de la Uralita irían en descenso hasta tasas casi erradicadas en 2040. Pero Josep Tarrés apunta que esos estudios se deben leer con una interpretación concreta, y que solo podrían ser válidos para lo que llama “la primera etapa de la Uralita”.

Las enfermedades se dividen en tres bloques, está el primero, que el neumólogo denomina como los del contacto directo: trabajadores productores de placas de fibrocemento, sus familiares, y vecinos de la zona. La segunda fase son los empleados que trabajan con las placas producidas, es decir, mucha gente del sector de la construcción, como podrían ser albañiles.
Por último, tenemos la fase más peligrosa por la dificultad que supone controlarla, la de las placas desgastadas: “hay millones, millones y millones de techos que empezarán, o ya han empezado, a actuar como pequeños focos. Los enfermos por esta última etapa cada vez serán más, ya que, si no se toma en serio el desamiantado en todo el mundo, esos tejados cada vez se harán más viejos y producirán más enfermedad. Hemos pasado del gueto de enfermedad en el pueblo, a universalizar la problemática”, concluye el médico.

Ver el sol y respirar
El deseo de Agustín era ver una sentencia firme sobre su caso, pero no se le dio la oportunidad de descansar en paz tras ver culminada su última voluntad. Las alegaciones y tácticas jurídicas de la empresa no dejaban de alargar el pleito. Fueron doce los años que Anunciación pasó en proceso judicial. Finalmente, cuando ya habían pasado años desde la muerte de su marido, el juez falló en favor de las víctimas y debieron ser indemnizadas. “Una vergüenza” es la escueta opinión de la mujer, dicha con ese tono de rabia y desidia de alguien que ha tenido que procesar el duelo entre togas y mazos.
Sin conocer a Anunciación, Miguel le entiende bien. Él perdió a su mujer de 51 años, cuya procedencia era el mismo pueblecito que el de los Ruiz Rodríguez, Hinojosa del Duque. Rafaela fue una víctima doméstica. Esta categoría se da a todas esas personas que han enfermado por convivir con un trabajador de la fábrica.
Rafael, padre de Rafaela, tenía una cabellera que no pasaba desapercibida. Cuando el hombre llegaba de trabajar en la fábrica, su hija —heredera del nombre parental y ojito derecho del mismo— le peinaba con devoción. La pequeña creció, y con el tiempo se fueron petrificando las fibras de amianto que había respirado acicalando la melena plagada de asbestos. Un día, en el 2015, Rafaela fue al centro comercial con su padre. Compraron una tabla de planchar y mientras la transportaban, fueron de bruces contra el suelo en la escalera mecánica. La vergüenza se pasó rápido porque no hay nada mejor que reírse de uno mismo para que el resto también lo haga. Pero ahí hubo algo más que un incidente: a Rafaela le empezó a doler el costado.

La mujer nunca aprendió a ir en bicicleta. Fue en esas fechas cuando Miguel emprendió la misión de enseñarle, ella lo intentaba, pero lo dejaba rápido por ese dolor que iba apareciendo. “Será del golpe”. Un día, fue al CAP. De allí la trasladaron de inmediato al hospital. No era un esguince en las costillas, era un mesotelioma.
Rafaela vivió hasta el 29 de diciembre del 2017. Pasaron poco más de dos años del diagnóstico hasta ese día. “Soy feliz con ver el sol y respirar”, Rafaela solía decir esa frase antes de enfermar. Miguel la cuidaba en casa, al principio incluso podían salir a pasear a la luz de su apreciado sol. Pero llegó un momento en el que su pecho le impedía respirar, y dejó de salir. Se agotaba. Se fue deteriorando. Rafaela era y sigue siendo muchas cosas más que víctima de un genocidio laboral, pero la enfermedad se encargó de hacerle perder la autonomía, el pelo, la masa muscular y el brillo en los ojos. Algo macabro es que la culpa cae en hombros de a quién no le pertenece. En este caso, cayó como una losa en las espaldas de su padre, el peón de Uralita. Murió antes que ella, meses después de saber el diagnóstico de su hija: estaba acostumbrado a acudir a entierros de compañeros, pero el pronóstico de Rafaela le hizo caer en una depresión en la que dejó de comer, hablar y salir de casa. Pese a la muerte de su padre y sus años de intentar recuperarse de una enfermedad terminal probando tratamientos experimentales estadounidenses, Rafaela nunca dejó de creer en la vida.
Postergar el duelo
“A mí esa sentencia no me da nada. Siempre que no me devuelva a mi mujer, esa sentencia no me da nada”. Miguel y su familia forman parte de la tercera demanda colectiva interpuesta contra Uralita a través del Col·lectiu Ronda. En marzo de 2021 se falló una sentencia pionera: el Tribunal Supremo desestimaba los recursos presentados por Uralita s.a bajo la premisa de que el uso de amianto en los procesos industriales “conformaba un indiscutible riesgo para la salud perfectamente conocido cuando menos en la década de los 40”, además de destacar que la empresa era conocedora de los riesgos que suponía para “la plantilla y terceros”. Así se reconoció legalmente a Rafaela como víctima doméstica. La empresa no está dispuesta a perder el pulso, se ha declarado insolvente. El dinero “si es que llega”, como dicen los afectados, llegará tras tener que batallar hasta con un reconocimiento legal a su favor. Un golpe traumático para alargar y postergar los procesos de gestión del dolor, la rabia y el duelo.
Si en otra cosa coinciden tanto Anunciación como Miguel, es que lo último que les interesa es el dinero de esa gente. Solo quieren justicia, cosa que ambos creen algo no posible. Agustín y Rafaela no volverán.


